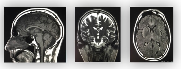
Magnetic resonance imaging (MRI) is arguably the most sophisticated imaging method used in clinical medicine. In recent years, MRI scans have become increasingly common, as costs decrease. In this article, we will outline the basic principles behind MRI scans, how to orientate and interpret a scan, and address some of their advantages and disadvantages compared to other imaging modalities. Pro Feature - 3D Model You've Discovered a Pro Feature Access our 3D Model Library Explore, cut, dissect, annotate and manipulate our 3D models to visualise anatomy in a dynamic, interactive way. Learn More Basic Principles MRI scans work as an imaging method due to the unique make-up of the human body. We are comprised entirely of cells which all contain water – principally made of hydrogen ions (H2O). The magnet embedded within the MRI scanner can act on these positively charged hydrogen ions (H+ ions) and cause them to ‘spin’ in an identical manner. By varying the strength and direction of this magnetic field, we can change the direction of ‘spin’ of the protons, enabling us to build layers of detail. When the magnet is switched off, the protons will gradually return to their original state in a process known as precession. Fundamentally, the different tissue types within the body return at different rates and it is this that allows us to visualise and differentiate between the different tissues of the body. <a href="https://pulseradeducation.com"> Pulse Radiology Education</a> Fig 1MRI scanning is based on the excitation and relaxation of protons. Uses of MRI Scanning Magnetic resonance imaging can produce highly sophisticated and highly detailed images of the human body. Generally speaking, MRI scanning is excellent for visualising soft tissue – and so it is often used in the detection of tumours, strokes and bleeds. It also can be used to visualise the functionality of suspected masses and tumours through IV, gadolinium-based agents. MRI scans have many advantages. As stated previously, they provide excellent detail of the soft tissues of the body, and they do not cause any radiation exposure to the patient. However, they are time consuming – averaging approximately 35-45 minutes to complete. This limits their use in trauma and emergency situations, where CT scanning is often preferred. They are also by far the most expensive of all the imaging modalities available. Factor CT (CT abdo used as example) MRI X-ray (CXR used as example) Ultrasound Duration 3-7 minutes 30-45 min 2-3 min 5-10 minutes Cost Cheaper Expensive Cheap Cheap Dimensions 3 3 2 2 Soft tissue Poor detail Excellent detail Poor detail Poor detail Bone Excellent detail Poor detail Excellent detail Poor detail Radiation 10mSv None 0.15mSv None At present, there are no known long lasting adverse effects from MRI scans. However, MRI safety has recently become a major focus in hospital and outpatient environments due to the potential attraction to ferromagnetic objects and devices. Some medical and implantable devices are considered contraindications for MRI evaluation – such as cardiac pacemakers, heart monitors, defibrillators and other battery-operated devices. Interpreting a MRI Scan Image View MRI scans, much like computed tomography, typically produce three anatomical views; sagittal, coronal and axial (similar to the planes of the body). When interpreting axial views, it is important to appreciate that the image is viewed from the feet upwards – and so the left-hand side of the image refers to the patient’s right (and vice versa). <a href="https://pulseradeducation.com"> Pulse Radiology Education</a> Fig 2The three main views obtained when MRI scanning. Left to right: Sagittal, coronal and axial. Image Weight Once the view of the scan has been determined, the second step is to work out the weight of the image. The magnetic fields produced by the scanner can be manipulated to produce two distinct types of image – T1 weighted and T2 weighted. The resulting images will show different tissue types in different densities: Appearance T1 Weighted Image T2 Weighted Image White Fat Protein Rich Fluid Water Content E.g. Inflammation, Tumour, Haemorrhage, Infection Intermediate Gray Spinal Matter darker than White White Spinal matter darker than gray spinal matter. Dark Bone Air Water Content e.g. Inflamation, Tumour, Haemorrhage Bone Air Fat Note: It can help to remember that a T tWo weighted image shows Water as White. Clinical Relevance Spinal Cord Compression Magnetic resonance imaging can be used to assess the extent of cord compression, when there is a suspicion of stenosis, disc herniation or cauda equina. The figure below shows a T2 weighted, sagittal MRI of the lumbar spine. The thecal sac is easily visible as the 1cm thick white band running posterior to the vertebral bodies. This is interupted at the L4/L5 level by a small round dark area, which is the herniation of the intervertebral disc into the central canal. By TeachMeSeries Ltd (2025) Fig 3Sagittal plane T2 weighted MRI Scan of lumbar spine, demonstrating disc herniation at L4/5 level. Do you think you’re ready? Take the quiz below Pro Feature - Quiz Magnetic Resonance Imaging (MRI) Scanning Question 1 of 2 Submitting... Skip Next Rate question: You scored 0% Skipped: 0/2 1800 More Questions Available Upgrade to TeachMeAnatomy Pro Challenge yourself with over 1800 multiple-choice questions to reinforce learning Learn More Rate This Article