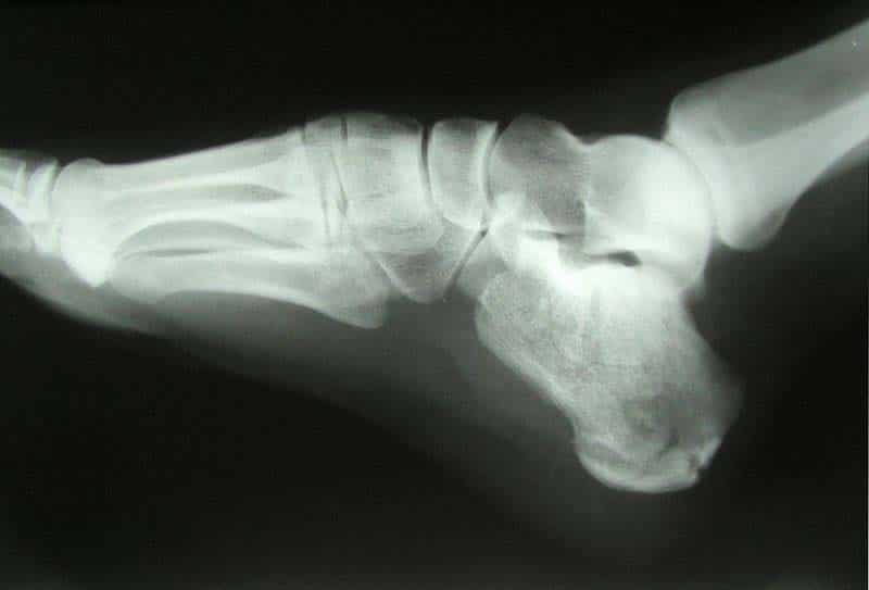
The bones of the foot provide mechanical support for the soft tissues; helping the foot withstand the weight of the body whilst standing and in motion. They can be divided into three groups: Tarsals – a set of seven irregularly shaped bones. They are situated proximally in the foot in the ankle area. Metatarsals – connect the phalanges to the tarsals. There are five in number – one for each digit. Phalanges – the bones of the toes. Each toe has three phalanges – proximal, intermediate, and distal (except the big toe, which only has two phalanges). The foot can also be divided up into three regions: (i) Hindfoot – talus and calcaneus; (ii) Midfoot – navicular, cuboid, and cuneiforms; and (iii) Forefoot – metatarsals and phalanges. In this article, we shall look at the anatomy of the bones of the foot – their bony landmarks, articulations, and clinical correlations. By TeachMeSeries Ltd (2025) Fig 1.0Overview of the bones of the human foot. Pro Feature - 3D Model You've Discovered a Pro Feature Access our 3D Model Library Explore, cut, dissect, annotate and manipulate our 3D models to visualise anatomy in a dynamic, interactive way. Learn More Tarsals The tarsal bones of the foot are organised into three rows: proximal, intermediate, and distal. Proximal Group The proximal tarsal bones are the talus and the calcaneus. These comprise the hindfoot, forming the bony framework around the proximal ankle and heel. Talus The talus is the most superior of the tarsal bones. It transmits the weight of the entire body to the foot. It has three articulations: Superiorly – ankle joint – between the talus and the bones of the leg (the tibia and fibula). Inferiorly – subtalar joint – between the talus and calcaneus. Anteriorly – talonavicular joint – between the talus and the navicular. The main function of the talus is to transmit forces from the tibia to the heel bone (known as the calcaneus). It is wider anteriorly compared to posteriorly which provides additional stability to the ankle. Whilst numerous ligaments attach to the talus, no muscles originate from or insert onto it. This means there is a high risk of avascular necrosis as the vascular supply is dependent on fascial structures. Calcaneus The calcaneus is the largest tarsal bone and lies underneath the talus where it constitutes the heel. It has two articulations: Superiorly – subtalar (talocalcaneal) joint – between the calcaneus and the talus. Anteriorly – calcaneocuboid joint – between the calcaneus and the cuboid. It protrudes posteriorly and takes the weight of the body as the heel hits the ground when walking. The posterior aspect of the calcaneus is marked by calcaneal tuberosity, to which the Achilles tendon attaches. By TeachMeSeries Ltd (2025) Fig 2The tarsal bones of the foot. Intermediate Group The intermediate row of tarsal bones contains one bone, the navicular (given its name because it is shaped like a boat). Positioned medially, it articulates with the talus posteriorly, all three cuneiform bones anteriorly, and the cuboid bone laterally. On the plantar surface of the navicular, there is a tuberosity for the attachment of part of the tibialis posterior tendon. Distal Group In the distal row, there are four tarsal bones – the cuboid and the three cuneiforms. These bones articulate with the metatarsals of the foot The cuboid is furthest lateral, lying anterior to the calcaneus and behind the fourth and fifth metatarsals. As its name suggests, it is cuboidal in shape. The inferior (plantar) surface of the cuboid is marked by a groove for the tendon of fibularis longus. The three cuneiforms (lateral, intermediate (or middle) and medial) are wedge shaped bones. They articulate with the navicular posteriorly, and the metatarsals anteriorly. The shape of the bones helps form a transverse arch across the foot. They are also the attachment point for several muscles: Medial cuneiform – tibialis anterior, (part of) tibialis posterior, and fibularis longus Lateral cuneiform – flexor hallucis brevis Clinical Relevance Fractures of the Talus and Calcaneus The talus and the calcaneus are primarily involved in transmitting forces from the body to the ground (and vice versa). This means they are frequently fractures in high-energy trauma. Talus Talar fractures most commonly occur in the neck region (50%), but can also occur in the body or lateral process. Fractures of the talar head are the least common. Talar neck fractures are typically high-energy injuries where the foot is forcibly dorsiflexed and the neck of the talus is pushed against the tibia. In this type of fracture, the blood supply to the talus may be disturbed – leading to avascular necrosis of the bone. Fractures of the talar body usually occur from jumping from a height. Calcaneus The calcaneus is often fractured as a result of axial loading, typically from a fall from a height. These patients should be assessed for associated injuries such as fractures of the lumbar spine or lower limb. The bone can break into several pieces (comminuted fracture). On x-ray, the calcaneus will appear shorter and wider. Even after treatment, a calcaneal fracture can cause further problems. The sub-talar joint is usually disrupted, causing the joint to become arthritic. The patient can experience pain upon inversion and eversion – which can make walking on uneven ground particularly painful. The calcaneo-cuboid joint can also be affected. By Jojo (Own work) [CC-BY-SA-3.0], via Wikimedia Commons Fig 3X-ray of a calcaneal fracture. Metatarsals The metatarsals are located in the forefoot, between the tarsals and phalanges. They are numbered I-V (medial to lateral). Each metatarsal has a similar structure. They are convex dorsally and consist of a head, neck, shaft, and base (distal to proximal). They have three or four articulations: Proximally – tarsometatarsal joints – between the metatarsal bases and the tarsal bones. Laterally – intermetatarsal joint(s) – between the metatarsal and the adjacent metatarsals. Distally – metatarsophalangeal joint – between the metatarsal head and the proximal phalanx. Clinical Relevance Fractures of the Metatarsal Bones Metatarsal fractures can occur by three main mechanisms. The most common method of fracture is a direct blow to the foot – usually from a heavy object dropping onto the foot. Another type of metatarsal injury is a stress fracture, an incomplete fracture caused by repeated stress to the bone. It is common in athletes and occurs most frequently at the necks of the second and third metatarsals and the proximal fifth metatarsal. The metatarsals can also be fractured by excessive inversion of the foot. If the foot is violently inverted, the fibularis brevis muscle can avulse (‘tear off’) the base of the fifth metatarsal. Phalanges The phalanges are the bones of the toes. The second to fifth toes all have proximal, middle, and distal phalanges. The great toe has only 2; proximal and distal phalanges. They are similar in structure to the metatarsals, each phalanx consists of a base, shaft, and head. Do you think you’re ready? Take the quiz below Pro Feature - Quiz Bones of the Foot: Tarsals, Metatarsals and Phalanges Question 1 of 3 Submitting... Skip Next Rate question: You scored 0% Skipped: 0/3 1800 More Questions Available Upgrade to TeachMeAnatomy Pro Challenge yourself with over 1800 multiple-choice questions to reinforce learning Learn More Rate This Article