The Arterial Supply to the Central Nervous System

Written by Oliver Jones

Last updated September 15, 2025
42 Revisions

The central nervous system, like any system of the body, requires constant oxygenation and nourishment.

The brain has a particularly high oxygen demand – at rest it represents one fifth of the body’s total oxygen consumption. It is also very sensitive to oxygen deprivation, with ischemic cell death resulting within minutes.

In this article, we shall look at the anatomy of the arterial supply to the brain and spinal cord.


Pro Feature - 3D Model

Arterial Supply to the Brain

There are two paired arteries which are responsible for the blood supply to the brain; the vertebral arteries, and the internal carotid arteries. These arteries arise in the neck, and ascend to the cranium.

Within the cranial vault, the terminal branches of these arteries form an anastomotic circle, called the Circle of Willis. From this circle, branches arise which supply the majority of the cerebrum.

Other parts of the CNS, such as the pons and spinal cord, are supplied by smaller branches from the vertebral arteries.

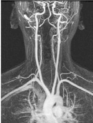
Fig 1.0 - Arteriogram of the arterial supply to the CNS.

Fig 1
Arteriogram of the arterial supply to the CNS.


Internal Carotid Arteries

The internal carotid arteries (ICA) originate at the bifurcation of the left and right common carotid arteries, at the level of the fourth cervical vertebrae (C4).

They move superiorly within the carotid sheath, and enter the brain via the carotid canal of the temporal bone. They do not supply any branches to the face or neck.

Once in the cranial cavity, the internal carotids pass anteriorly through the cavernous sinus. Distal to the cavernous sinus, each ICA gives rise to:

  • Ophthalmic artery – supplies the structures of the orbit.
  • Posterior communicating artery – acts as an anastomotic ‘connecting vessel’ in the Circle of Willis (see ‘Circle of Willis’ below).
  • Anterior choroidal artery – supplies structures in the brain important for motor control and vision.
  • Anterior cerebral artery – supplies part of the cerebrum.

The internal carotids then continue as the middle cerebral arterywhich supplies the lateral portions of the cerebrum.


Vertebral Arteries

The right and left vertebral arteries arise from the subclavian arteries, medial to the anterior scalene muscle. They then ascend the posterior aspect of the neck, through holes in the transverse processes of the cervical vertebrae, known as foramen transversarium.

The vertebral arteries enter the cranial cavity via the foramen magnum. Within the cranial vault, some branches are given off:

  • Meningeal branch – supplies the falx cerebelli, a sheet of dura mater.
  • Anterior and posterior spinal arteries – supplies the spinal cord, spanning its entire length.
  • Posterior inferior cerebellar artery – supplies the cerebellum.

After this, the two vertebral arteries converge to form the basilar artery. Several branches from the basilar artery originate here, and go onto supply the cerebellum and pons. The basilar artery terminates by bifurcating into the posterior cerebral arteries.

Fig 1.2 - The right vertebral artery. Superiorly, it converges with the left vertebral artery to form the basilar artery

Fig 2
The right vertebral artery. Superiorly, it converges with the left vertebral artery to form the basilar artery


Arterial Circle of Willis

The terminal branches of the vertebral and internal carotid arteries all anastomose to form a circular blood vessel, called the circle of Willis.

There are three main (paired) constituents of the circle of Willis:

  • Anterior cerebral arteries – terminal branches of the internal carotid arteries.
  • Internal carotid arteries – located immediately proximal to the origin of the middle cerebral arteries.
  • Posterior cerebral arteries – terminal branches of the basilar artery

To complete the circle, two ‘connecting vessels’ are also present:

  • Anterior communicating artery – connects the two anterior cerebral arteries.
  • Posterior communicating artery – branch of the internal carotid, this artery connects the ICA to the posterior cerebral artery.

Fig 3
Structure of the circle of Willis.


Regional Blood Supply to the Cerebrum

There are three cerebral arteries; anterior, middle and posterior. They each supply a different portion of the cerebrum.

The anterior cerebral arteries supply the anteromedial portion of the cerebrum. The middle cerebral arteries are situated laterally, supplying the majority of the lateral part of the brain. The posterior cerebral arteries supply both the medial and lateral parts of the posterior cerebrum.

Fig 1.4 - Overview of the blood supply to the cerebrum

Fig 4
Overview of the blood supply to the cerebrum


Arterial Supply to the Spinal Cord

The spinal cord is primarily supplied by three longitudinal arteries, as it descends from the brainstem to the conus medullaris. These are:

  • Anterior spinal artery – formed from branches of the vertebral arteries, travelling in the anterior median fissure. Gives rise to the sulcal arteries, which enter the spinal cord.
  • Two posterior spinal arteries – originate from the vertebral artery or the posteroinferior cerebellar artery, anastomosing with one another in the pia mater.

However, below the cervical level supply from these longitudinal arteries is insufficient. There is support via anastomosis with the segmental medullary and radicular arteries.

The anterior and posterior segmental medullary arteries are derived from spinal branches of a number of arteries, before entering the vertebral canal through the intervertebral foramina.
The great anterior segmental artery of Adamkiewicz reinforces circulation to the inferior 2/3 of the spinal cord, and is found on the left in the majority of individuals.

The radicular arteries supply (and follow the path of) the anterior and posterior nerve roots. Some radicular arteries may also contribute to supplying the spinal cord.

Clinical Relevance

Disorders of Arterial Supply

Stroke

The brain is particularly sensitive to oxygen starvation. A stroke is an acute development of a neurological deficit, due to a disturbance in the blood supply of the brain.

There are four main causes of a cerebrovascular accident:

  • Thrombosis – obstruction of a blood vessel by a locally forming clot.
  • Embolism – obstruction of a blood vessel by an embolus formed elsewhere.
  • Hypoperfusion – lack of blood supply to the brain, due to systemically low blood pressure (e.g shock).
  • Haemorrhage – an accumulation of blood within the cranial cavity.

Out of these four, the most common cause is embolism. In many patients, the atherosclerotic embolus arises from the vessels of the neck.

Intracerebral Aneurysms

An aneurysm is a dilation of an artery, which is greater than 50% of the normal diameter. They are most likely to occur to occur in the vessels contributing to the Circle of Willis. They are particularly dangerous – producing few symptoms until they rupture. Upon rupture, blood typically accumulates in the subarachnoid space – with a subsequent increase in intracranial pressure.

Once the artery wall has ruptured, it is a medical emergency, and the patient is likely to die unless treated swiftly. Treatment of an intracerebral aneurysm is surgical.

Spinal Cord Infarction

Spinal cord infarction (also known as a spinal stroke) refers to the death of nervous tissue, which results from an interruption of the arterial supply.

Clinical signs of spinal cord infarction include muscle weakness and paralysis with loss of reflexes. The most common causes of infarction are trauma (resulting in vertebral fractures or dislocations), atheromatous disease, or external compression.

95% of spinal cord ischaemic events are to the anterior aspect of the spinal cord, with the posterior columns preserved. Treatment is by reversal of the cause.

Do you think you’re ready? Take the quiz below

Pro Feature - Quiz
The Arterial Supply to the Central Nervous System

Question 1 of 3

Submitting...
Rate question:
You scored
0%
Skipped: 0/3

1800 More Questions Available

Upgrade to TeachMeAnatomy Pro

Challenge yourself with over 1800 multiple-choice questions to reinforce learning

Learn More