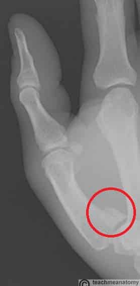
The bones of the hand provide support and movement to the soft tissues. They can be categorised into three different types: Carpal bones (proximal) – a set of eight irregularly shaped bones. They are located in the area of the wrist. Metacarpals – a set of five bones, each one related to a digit. They are located in the area of the palm. Phalanges (distal) – the bones of the digits. The thumb has two phalanges, whilst the rest of the fingers have three. In this article, we shall look at the anatomy of the bones of the hand – their structure, articulations and clinical correlations. By TeachMeSeries Ltd (2025) Fig 1Overview of the bones of the hand. Pro Feature - 3D Model You've Discovered a Pro Feature Access our 3D Model Library Explore, cut, dissect, annotate and manipulate our 3D models to visualise anatomy in a dynamic, interactive way. Learn More Carpal Bones The carpal bones are a group of eight irregularly shaped bones. They are organised into two rows – proximal and distal: Proximal row: Scaphoid Lunate Triquetrum Pisiform (a sesamoid bone, formed within the tendon of the flexor carpi ulnaris) Distal row: Trapezium Trapezoid Capitate Hamate (has a projection on its palmar surface, known as the ‘hook of hamate’ In the proximal row, the scaphoid and lunate articulate with the radius to form the wrist joint (radiocarpal joint). The distal row of carpal bones articulate with the metacarpals at the carpometacarpal joints. The carpal bones collectively form an arch in the coronal plane. A membranous band, the flexor retinaculum, spans between the medial and lateral edges of the arch, forming the carpal tunnel. Structures pass through the carpal tunnel to enter and exit the volar (anterior) aspect of the hand. By TeachMeSeries Ltd (2025) Fig 2Palmar view of the carpal bones of the left hand. By TeachMeSeries Ltd (2025) Fig 3Transverse section of the carpal tunnel. Clinical Relevance Scaphoid Fracture The scaphoid bone of the hand is the most commonly fractured carpal bone – typically by falling on an outstretched hand (FOOSH). In a fracture of the scaphoid, the characteristic clinical feature is pain and tenderness in the anatomical snuffbox. The scaphoid is at particular risk of avascular necrosis after fracture because of its so-called ‘retrograde blood supply’ which enters at its distal end. This means that a fracture to the middle (or ‘waist’) of the scaphoid may interrupt the blood supply to the proximal part of the scaphoid bone rendering it avascular. Patients with a missed scaphoid fracture are likely to develop osteoarthritis of the wrist in later life. By Gilo1969 (Own work) [CC-BY-SA-3.0], via Wikimedia Commons Fig 4Radiograph of a scaphoid fracture. Adapted from work by Iiibalesiii [CC BY-SA 4.0] Fig 5The blood supply to the scaphoid bone runs from distal to proximal. Metacarpal Bones The metacarpal bones articulate proximally with the carpals, and distally with the proximal phalanges. They are numbered, and each is associated with a digit: Metacarpal I – thumb. Metacarpal II – index finger. Metacarpal III – middle finger. Metacarpal IV – ring finger. Metacarpal V – little finger. Each metacarpal consists of a base, shaft and a head. The medial and lateral surfaces of the metacarpals are concave, allowing attachment of the interossei muscles. Clinical Relevance Fractures of the Metacarpals The metacarpal bones are common sites of injury. Two common fracture patterns include: Boxer’s fracture – A fracture of the 5th metacarpal neck. It is usually caused by a clenched fist striking a hard object. The distal part of the fracture can become angulated, producing shortening of the affected finger. Bennett’s fracture – A fracture of the 1st metacarpal base, caused by forced hyperabduction of the thumb. This fracture extends into the first carpometacarpal joint leading to instability and subluxation of the joint. As a result, it often needs surgical repair. By TeachMeSeries Ltd (2025) Fig 6Bennett’s fracture. Phalanges The phalanges are the bones of the fingers. Each phalanx consists of a base, a shaft and a head. The thumb has a proximal and distal phalanx, while the rest of the digits have proximal, middle and distal phalanges. Do you think you’re ready? Take the quiz below Pro Feature - Quiz The Bones of the Hand: Carpals, Metacarpals and Phalanges Question 1 of 3 Submitting... Skip Next Rate question: You scored 0% Skipped: 0/3 1800 More Questions Available Upgrade to TeachMeAnatomy Pro Challenge yourself with over 1800 multiple-choice questions to reinforce learning Learn More Rate This Article