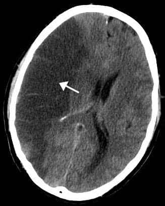
The cerebrum is the largest part of the brain, located superiorly and anteriorly in relation to the brainstem. It consists of two cerebral hemispheres (left and right), separated by the falx cerebri of the dura mater. Embryologically, the cerebrum is derived from the prosencephalon. In this article, we will look at the anatomy of the cerebrum – its structure, function, blood supply and the clinical implications of cerebral lesions. Pro Feature - 3D Model You've Discovered a Pro Feature Access our 3D Model Library Explore, cut, dissect, annotate and manipulate our 3D models to visualise anatomy in a dynamic, interactive way. Learn More Anatomical Position and Structure Database Center for Life Science and BodyParts3D [CC BY-SA 2.1 jp], via Wikimedia Commons Fig 1Anatomical position of the cerebrum. The cerebrum is located within the bony cranium. It extends from the frontal bone anteriorly to the occipital bone posteriorly. Within the skull, the cerebrum fills the anterior and middle cranial fossae, and is located above the tentorium cerebelli inferoposteriorly. Internal Structure The cerebrum is comprised of two different types of tissue – grey matter and white matter: Grey matter forms the surface of each cerebral hemisphere (known as the cerebral cortex), and is associated with processing and cognition. White matter forms the bulk of the deeper parts of the brain. It consists of glial cells and myelinated axons that connect the various grey matter areas. External Structure Externally, the cerebrum has a highly convoluted appearance, consisting of sulci (grooves or depressions) and gyri (ridges or elevations). It is divided into two anatomically symmetrical hemispheres by the longitudinal fissure – a major sulcus that runs in the median sagittal plane. The falx cerebri (a fold of dura mater) descends vertically to fill this fissure. The two cerebral hemispheres are connected by a white matter structure, called the corpus callosum. The main sulci are: Central sulcus – groove separating the frontal and parietal lobes. Lateral sulcus – groove separating the frontal and parietal lobes from the temporal lobe. Lunate sulcus – groove located in the occipital cortex. The main gyri are: Precentral gyrus – ridge directly anterior to central sulcus, location of primary motor cortex. Postcentral gyrus – ridge directly posterior to central sulcus, location of primary somatosensory cortex. Superior temporal gyrus – ridge located inferior to lateral sulcus, responsible for the reception and processing of sound. By TeachMeSeries Ltd (2025) Fig 2The notable sulci and gyri of the cerebrum. Lobes of the Cerebrum The cerebral cortex is classified into four lobes, according to the name of the corresponding cranial bone that approximately overlies each part. Each lobe contains various cortical association areas – where information from different modalities are collated for processing. Together, these areas function to give us a meaningful perceptual interpretation and experience of our surrounding environment. Frontal Lobe The frontal lobe is located beneath the frontal bone of the calvaria and is the most anterior region of the cerebrum. It is separated from the parietal lobe posteriorly by the central sulcus and from the temporal lobe inferoposteriorly by the lateral sulcus. The association areas of the frontal lobe are responsible for: higher intellect, personality, mood, social conduct and language (dominant hemisphere side only). Parietal Lobe The parietal lobe is found below the parietal bone of the calvaria, between the frontal lobe anteriorly and the occipital lobe posteriorly, from which it is separated by the central sulcus and parieto-occipital sulcus, respectively. It sits superiorly in relation to the temporal lobe, being separated by the lateral sulcus. Its cortical association areas contribute to the control of: language and calculation on the dominant hemisphere side, and visuospatial functions (e.g. 2-point discrimination) on the non-dominant hemisphere side. Temporal Lobe The temporal lobe sits beneath the temporal bone of the calvaria, inferior to the frontal and parietal lobes, from which it is separated by the lateral sulcus. The cortical association areas of the temporal lobe are accountable for memory and language – this includes hearing as it is the location of the primary auditory cortex. Occipital Lobe The occipital lobe is the most posterior part of the cerebrum situated below the occipital bone of the calvaria. Its inferior aspect rests upon the tentorium cerebelli, which segregates the cerebrum from the cerebellum. The parieto-occipital sulcus separates the occipital lobe from the parietal and temporal lobes anteriorly. The primary visual cortex (V1) is located within the occipital lobe and hence its cortical association area is responsible for vision. By TeachMeSeries Ltd (2025) Fig 3The lobes of the cerebral cortex. Vasculature The blood supply to the cerebrum can be simply classified into 3 distinct paired arterial branches: Anterior Cerebral Arteries – branches of internal carotid arteries, supplying the anteromedial aspect of the cerebrum. Middle Cerebral Arteries – continuation of internal carotid arteries, supplying most of the lateral portions of the cerebrum. Posterior Cerebral Arteries – branches of the basilar arteries, supplying both the medial and lateral sides of the cerebrum posteriorly. Venous drainage of the cerebrum is via a network of small cerebral veins. These vessels empty into the dural venous sinuses – endothelial lined spaces between the outer and inner layers of dura mater. By Frank Gaillard and Patrick J. Lynch [CC-BY-SA-3.0], via Wikimedia Commons Fig 4Overview of the blood supply to the cerebrum. Clinical Relevance Cerebrovascular Accident A cerebrovascular accident (also known as a stroke) is defined clinically as “an abrupt loss of focal brain function lasting more than 24 hours due to either spontaneous haemorrhage into brain substance or inadequate blood supply to part of the brain i.e. ischaemia (thrombosis, embolism)“. Damage to the cerebrum in this matter can give rise to a range of clinical signs. The exact nature of the functional deficit that arises depends on the specific lobe that has been affected: Frontal lobe – a diverse range of presentations, often personality and behavioural changes occur and an inability to solve problems develops. Parietal lobe – typically presents with attention deficits e.g. contralateral hemispatial neglect syndrome: where the patient does not pay attention to the side of the body opposite to the lesion. Temporal lobe – presents with recognition deficits (agnosias) e.g. auditory agnosia: patient cannot recognise basic sounds, prosopagnosia: failure to recognise faces. Occipital lobe – visual field defects: contralateral hemianopia or quadrantanopia with macular sparing. Global lesions – severe cognitive deficits (dementia), patients cannot answer simple questions such as their name, today’s date, where they are etc. By INFARCT.jpg: Lucien Monfils derivative work: Suraj (INFARCT.jpg) [CC BY-SA 3.0], via Wikimedia Commons Fig 5CT scan of the brain, showing an infarct in the area of the middle cerebral artery. Do you think you’re ready? Take the quiz below Pro Feature - Quiz The Cerebrum Question 1 of 3 Submitting... Skip Next Rate question: You scored 0% Skipped: 0/3 1800 More Questions Available Upgrade to TeachMeAnatomy Pro Challenge yourself with over 1800 multiple-choice questions to reinforce learning Learn More Rate This Article