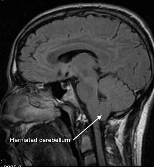
The floor of the cranial cavity is divided into three distinct depressions. They are known as the anterior cranial fossa, middle cranial fossa and posterior cranial fossa. Each fossa accommodates a different part of the brain. The posterior cranial fossa is the most posterior and deep of the three cranial fossae. It accommodates the brainstem and cerebellum. In this article, we shall look at the borders, contents and clinical correlations of the posterior cranial fossa. Pro Feature - 3D Model You've Discovered a Pro Feature Access our 3D Model Library Explore, cut, dissect, annotate and manipulate our 3D models to visualise anatomy in a dynamic, interactive way. Learn More Borders The posterior cranial fossa is comprised of three bones: the occipital bone and the two temporal bones. It is bounded as follows: Anteromedial – dorsum sellae of the sphenoid bone (large projection of bone superiorly that arises from the body of the sphenoid). Anterolateral – superior border of the petrous part of the temporal bone. Posterior – internal surface of the squamous part of the occipital bone. Floor – mastoid part of the temporal bone and the squamous, condylar and basilar parts of the occipital bone. By TeachMeSeries Ltd (2025) Fig 1The bones of the cranial floor. The posterior cranial fossa has been outlined.Fig 1.0 – The bones of the cranial floor. The posterior cranial fossa has been outlined. Contents The posterior cranial fossa houses the brainstem and cerebellum. The brainstem is comprised of the medulla oblogata, pons and midbrain and continues down through the foramen magnum to become the spinal cord. The cerebellum has an important role in co-ordination and fine motor control – more information here. Alongside the gross anatomical structures of the brainstem and cerebellum, the posterior cranial fossa also accommodates associated arteries and nerves. Some key structures will be discussed with regards to their foramina below. Foramina There are several bony landmarks and foramina present in the posterior cranial fossa (a foramen is simply a hole that allows the passage of a structure – usually a blood vessel or nerve). Temporal Bone The internal acoustic meatus is an oval opening in the posterior aspect of the petrous part of the temporal bone. It transmits the facial nerve (CN VII), vestibulocochlear nerve (CN VIII) and labyrinthine artery. Occipital Bone A large opening, the foramen magnum, lies centrally in the floor of the posterior cranial fossa. It is the largest foramen in the skull. It transmits the medulla of the brain, meninges, vertebral arteries, spinal accessory nerve (ascending), dural veins and anterior and posterior spinal arteries. Anteriorly an incline, known as the clivus, connects the foramen magnum with the dorsum sellae. The jugular foramina are situated either side of the foramen magnum. Each transmits the glossopharyngeal nerve, vagus nerve, spinal accessory nerve (descending), internal jugular vein, inferior petrosal sinus, sigmoid sinus and meningeal branches of the ascending pharyngeal and occipital arteries. Immediately superior to the anterolateral margin of the foramen magnum is the hypoglossal canal. It transmits the hypoglossal nerve through the occipital bone. Posterolaterally to the foramen magnum lies the cerebellar fossae. These are bilateral depressions that house the cerebellum. They are divided medially by a ridge of bone, the internal occipital crest. By TeachMeSeries Ltd (2025) Fig 2The bony landmarks and foramina of the posterior cranial fossa. Clinical Relevance Cerebellar Tonsillar Herniation Cerebellar tonsillar herniation is the downward displacement of the cerebellar tonsils through the foramen magnum. It is also known as ‘coning’. It is produced by a raised intracranial pressure, which has a varied aetiology. Causes include hydrocephalus, space occupying lesions, and a malformed posterior cranial fossa. Cerebellar tonsillar herniation results in the compression of the pons and medulla, which contain the cardiac and respiratory centres. Thus, a herniation of this type ultimately results in death from cardiorespiratory arrest. By Basket of Puppies (Own work) [CC-BY-SA-3.0] via Wikimedia Commons Fig 3Sagittal MRI imaging of the head, demonstrating cerebellar tonsil herniation. Do you think you’re ready? Take the quiz below Pro Feature - Quiz The Posterior Cranial Fossa Question 1 of 3 Submitting... Skip Next Rate question: You scored 0% Skipped: 0/3 1800 More Questions Available Upgrade to TeachMeAnatomy Pro Challenge yourself with over 1800 multiple-choice questions to reinforce learning Learn More Rate This Article